How Scopia Works
Pre-operative insight should not disappear once surgery begins.
Scopia will display patient-specific anatomical information alongside the live surgical view during soft-tissue laparoscopic robotic procedures, offering a software-based approach to surgical visualization that integrates into existing workflows.
Step 1
Generate Patient-Specific Anatomy
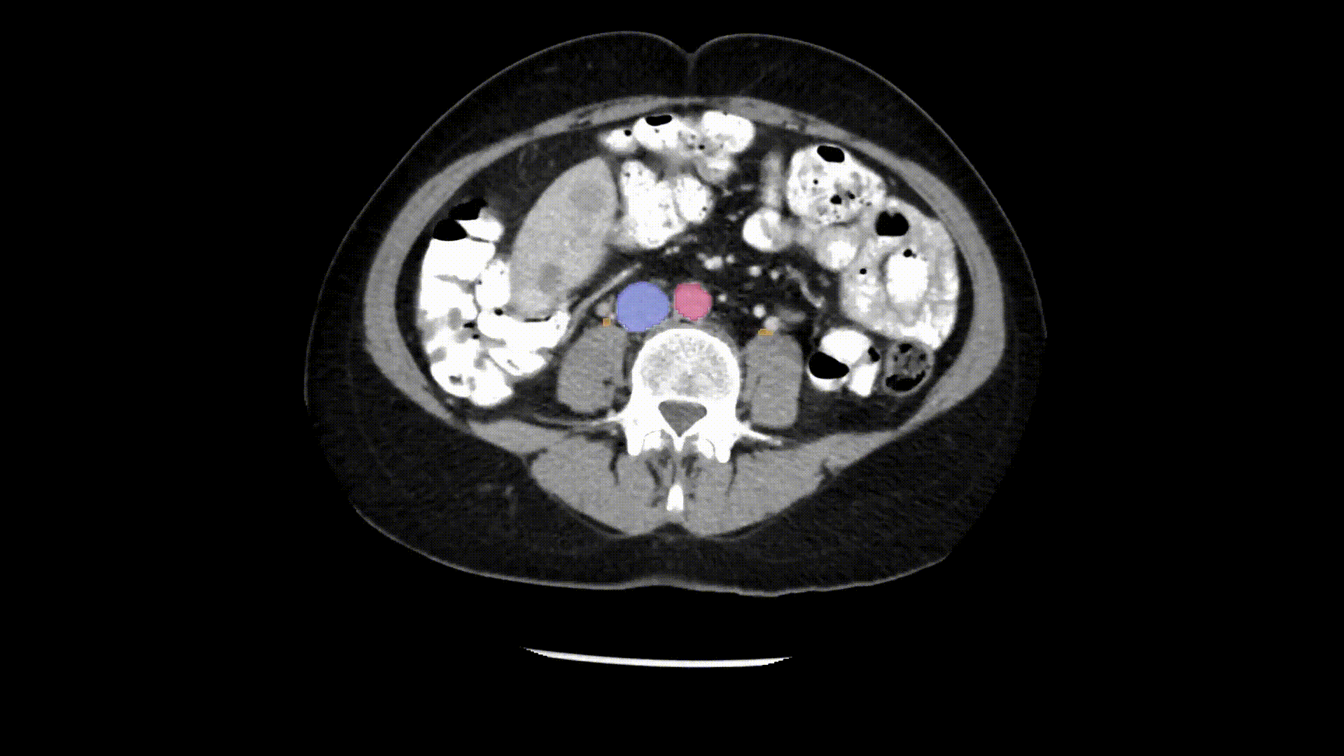
Upload standard-of-care CT or MRI scans. Scopia Surgical Navigation generates a patient-specific 3D anatomical model for visualization and review.
What you get
AI-driven anatomical segmentation
Patient-specific 3D anatomical modeling
Compatible with DICOM files from standard imaging systems
Step 2
Review Anatomy Before Surgery
Explore the patient-specific anatomy prior to entering the operating room. Review and examine the 3D model to understand relevant structures, anatomical variation, and spatial relationships.
What you can do
Rotate and examine anatomy from multiple perspectives
Identify critical structures and anatomical variation
Review anatomical relationships relevant to the planned procedure
Step 3
Visualize Anatomy During the Procedure
During surgery, Scopia Surgical Navigation displays the pre-operative 3D anatomical model aligned with the live surgical camera view as the procedure unfolds.
In the operating room
Anatomical visualization presented alongside the live camera feed
Display updated in relation to camera movement
Non-intrusive interface designed to integrate into existing workflows
A GPS-Inspired Visualization Concept
Scopia Surgical Navigation is being built around a GPS-inspired visualization concept, using patient-specific anatomical models displayed aligned with the live surgical view to support anatomical awareness during procedures.
Across the Surgical Workflow
-

Before Surgery
Upload scans → Generate a 3D anatomical model → Review anatomy
-

During Surgery
Live camera view → Anatomical visualization aligned with the camera → Ongoing access to anatomical context
“Modern surgical platforms still fall short in giving surgeons access to patient-specific anatomical context during minimally invasive procedures. Scopia is well-positioned to explore a new approach to surgical visualization, and I look forward to collaborating to further evaluate its potential role in the operating room.”
— Alexander Kutikov, MD, FACS
Professor and Chair of Urology, Fox Chase Cancer Center
“The innovative work done at Scopia will be instrumental in bringing radiology to the forefront in the operating room and will let the radiologist have a direct impact on the patient's care.”
— Kushal Parikh, MD MBA
Body / Oncology Radiologist, Midwest Radiology
See Scopia Surgical Navigation in Action
Explore how Scopia Surgical Navigation will extend anatomical insight from planning into the operating room.